ARCHEOLOGIA

skarb monet

Archeolodzy wznawiają badania w Trójcy, gdzie odkryto skarb 1,8 tys. monet piastowskich

Archeolodzy wznawiają badania w osadzie Trójca na terenie Zawichostu (Świętokrzyskie), gdzie odkryto m.in. skarb prawie 2 tys. monet piastowskich.… Czytaj więcej

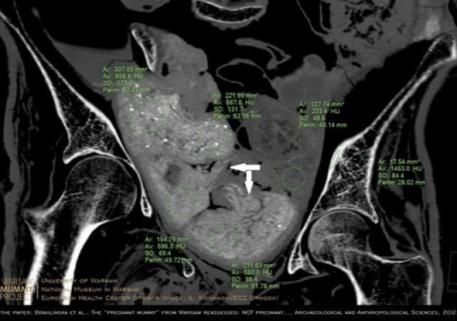
warszawska mumia

Mumia egipska z Warszawy nie była w ciąży - w jej miednicy znajdują się... pakunki

Nie płód, ale kilka zawiniątek znajduje się w miednicy mumii kobiety prezentowanej w Muzeum Narodowym w Warszawie - dowodzi zespół naukowców. W jednym… Czytaj więcej

Pefkakia z lotu ptaka z zaznaczonym terenem objętym badaniami

Trwają grecko-polskie badania archeologiczne koło miasta Volos

Pozostałości po osadzie sprzed ponad 3,2 tys. lat na stanowisku archeologicznym Pefkakia położonym obok miasta Volos w Grecji są m.in. celem badań… Czytaj więcej

ceramika sznurkowa

Odkrycia archeologiczne na budowie odcinka S19 k. Rzeszowa

Na budowie odcinka drogi ekspresowej S19 między węzłami Rzeszów Południe i Babica trwają badania archeologiczne, w trakcie których odkryto m.in. 11… Czytaj więcej

odkrycia w cieszynie

Archeolodzy znaleźli fundament budynku; być może to dawny cieszyński ratusz

Fundamenty dużego budynku znaleźli archeolodzy z Muzeum Śląska Cieszyńskiego podczas badań remontowanej płyty głównego Rynku w Cieszynie – podała w… Czytaj więcej

Megality z dabrowy

Odkrycia na Bukowej Górze

Unikatowe w środkowej Europie dolomitowe megality, krzemienie z epoki schyłkowego paleolitu i ciałopalny pochówek wstępnie datowany na wczesne średniowiecze… Czytaj więcej

krzemionki opatowskie

Rocznica odkrycia kopalń krzemienia pasiastego w Krzemionkach

19 lipca 1922 r. w Krzemionkach koło Ostrowca Świętokrzyskiego prof. Jan Samsonowicz odkrył prehistoryczne kopalnie krzemienia pasiastego. Pradziejowe… Czytaj więcej

prace w cieszynie

Cenne znaleziska archeologów podczas badań na Rynku w Cieszynie

Fragment figurki ceramicznej z przedstawieniem Marii z Dzieciątkiem, monety, kawałki naczyń ceramicznych oraz skór z ubioru wierzchniego, znaleźli… Czytaj więcej